• Educational Videos
  • Links
  • Hours
  • New Patients
  • Our Office
  • Payment Plans
  • Home
  • Our Practice
    • Meet Dr. Robert Barber
    • Meet Dr. Christopher Erskine
    • Meet Dr. Amber Powell
    • Meet Dr. Heath Snell
    • Office Manager
    • Staff
  • Our Technology
    • CEREC
    • Diagnodent
    • Digital X-Ray
    • Electric Handpieces
    • Intraoral Camera
    • Rotary Endodontics
  • Services
    • Inlays / Onlays
    • Bonding / White Fillings
    • Braces
    • Bridges
    • CEREC
    • Cone Beam CT
    • Crown Lengthening
    • Crowns
    • Dental Implants
    • Dentures and Partials
    • Extractions
    • Hygiene / Periodontal Health
    • Invisalign
    • Post-Op Instructions
    • Root Canal (Endodontics)
    • Veneers
    • Whitening and Bleaching
  • Appointments
    • Cancellation
  • Cosmetic Smile Gallery
  • Specials
  • Wisdom Teeth
  • Contact Us

Gilbert Dentist | Family & Cosmetic Dentistry | Dr. Robert Barber & Dr. Christopher Erskine

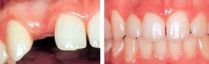
dental_implants

February 22, 2023 By gatewaydentalcare

22 Feb

Call Us Today

(480) 279-4888

Now You Can Schedule Online

Now You Can Schedule Online

Any dental work I have in the future will be performed here. They rock!

As a 30 year old male, I still loathe going to the dentist. I broke a tooth on Monday, and Gateway examined the damage 15 minutes before closing. My perspective has changed because Dr. Barber and his staff were incredible. A crown and filling were completed in less than 90 minutes. They were gentle and efficient. All future dental will be done here. They rock!

— Michael Finnerty

Gilbert Dentist | Family & Cosmetic Dentistry | Dr. Robert Barber & Dr. Christopher Erskine
5
2019-10-21T18:23:59+00:00

— Michael Finnerty

As a 30 year old male, I still loathe going to the dentist. I broke a tooth on Monday, and Gateway examined the damage 15 minutes before closing. My perspective has changed because Dr. Barber and his staff were incredible. A crown and filling were completed in less than 90 minutes. They were gentle and efficient. All future dental will be done here. They rock!
https://gatewaydentalcare.net/testimonials/any-dental-work-i-have-in-the-future-will-be-performed-here-they-rock/

ALL of the staff is awesome!

My whole family comes here! 7 of us! The hours are fantastic, ALL of the staff is awesome! I love the way my teeth look and feel!

— Suzan Irmer

Gilbert Dentist | Family & Cosmetic Dentistry | Dr. Robert Barber & Dr. Christopher Erskine
5
2019-10-21T18:14:25+00:00

— Suzan Irmer

My whole family comes here! 7 of us! The hours are fantastic, ALL of the staff is awesome! I love the way my teeth look and feel!
https://gatewaydentalcare.net/testimonials/all-of-the-staff-is-awesome/

Best dental care by great people

As usual the best dental care by great people.....

⁠— Greg Wheeler

Gilbert Dentist | Family & Cosmetic Dentistry | Dr. Robert Barber & Dr. Christopher Erskine
5
2019-10-21T18:16:35+00:00

⁠— Greg Wheeler

As usual the best dental care by great people.....
https://gatewaydentalcare.net/testimonials/best-dental-care-by-great-people/

Dr. Barber did an amazing job

I was referred here by a coworker and so glad I was. The staff is absolutely amazing and kind. Dr. Barber did an amazing job filling a cavity for me and made it very easy and painless. Everybody from the front desk, assistants, to the hygienist care for each and every person that walks through their door. Would highly recommend them.

— Jessica Burton

Gilbert Dentist | Family & Cosmetic Dentistry | Dr. Robert Barber & Dr. Christopher Erskine
5
2019-10-21T18:17:54+00:00

— Jessica Burton

I was referred here by a coworker and so glad I was. The staff is absolutely amazing and kind. Dr. Barber did an amazing job filling a cavity for me and made it very easy and painless. Everybody from the front desk, assistants, to the hygienist care for each and every person that walks through their door. Would highly recommend them.
https://gatewaydentalcare.net/testimonials/dr-barber-did-an-amazing-job/

Best dental office in town

Best dental office in town and have been going here for years. The office staff is friendly, helpful, and gives plenty of reminders for upcoming appointments. I tell everyone who asks about dental work to come here because I feel confident their experience will be stellar as well.

— Kari Carlson

Gilbert Dentist | Family & Cosmetic Dentistry | Dr. Robert Barber & Dr. Christopher Erskine
5
2019-10-21T18:18:50+00:00

— Kari Carlson

Best dental office in town and have been going here for years. The office staff is friendly, helpful, and gives plenty of reminders for upcoming appointments. I tell everyone who asks about dental work to come here because I feel confident their experience will be stellar as well.
https://gatewaydentalcare.net/testimonials/best-dental-office-in-town/
5
Gilbert Dentist | Family & Cosmetic Dentistry | Dr. Robert Barber & Dr. Christopher Erskine

New to Gateway Dental Care?

NEW PATIENT QUESTIONNAIRE

Map to Our Office

Click to open a larger map

5656 S Power Rd, Suite 129
Gilbert, AZ 85295

Gateway Dental Care

Contact

Gateway Dental Care
Dr. Robert Barber
Dr. Christopher Erskine
Dr. Amber Powell
5656 S Power Rd
Suite 129
Gilbert, AZ 85295
Telephone: 480-279-4888
Fax: 480-279-5005

Call Us

(480) 279-4888

Hours

Monday 7:00 am - 7:00 pm
Tuesday 7:00 am - 5:00 pm
Wednesday 7:00 am - 7:00 pm
Thursday 7:00 am - 5:00 pm
Friday 7:00 am - 3:00 pm
Saturday 7:00 am - 3:00 pm

Contact Us

Terms of Use

Copyright © 2026 Gateway Dental Care · All rights reserved · Website Design & Infusionsoft by RoadRunner CRM · Log in